정신없이 지내다보니 큰아이 영유아구강검진 까먹고말았다. 젠장ㅠ
그래서 내가 직접 아이 어금니를 들여다 봤는데 까맣게 썪었네... ㅎ ㅏ.
둘찌 구강검진 때 첫찌도 같이 검진해야겠다 맘먹고, 어금니치료 예약을 했다.
그러고 며칠지나 함께 티비보고 있는데.........
큰애가 사과먹다가 이가 아프다며.........
그래서 당연히 어금니 일 줄 알았는데, 엄훠!!!!!!!!!!! 이게뭐야 ㅠㅠ
앞니 아랫쪽이 꾀 많이 올라왔다. ㄷㄷ 심지어 유치아랫니는 흔들리지 않는다.ㅠㅠ

어머.... ㅠㅠ 이가 뒤에서 올라오다니 ㅠㅠ ㅎ ㅏ......... 치열은 엄마닮길 바랐는데 아빠닮았나보구나^^ 또르르...
바로 치과 전화해서 아랫니도 함께치료 예약하고, 검진날이 밝았다.
그녀석은 무척 공포에 질려있었으나 생각보다 치료를 너무 잘 받음.
걱정을 너무 많이 하고가서 생각보단 참을만 했던 듯.
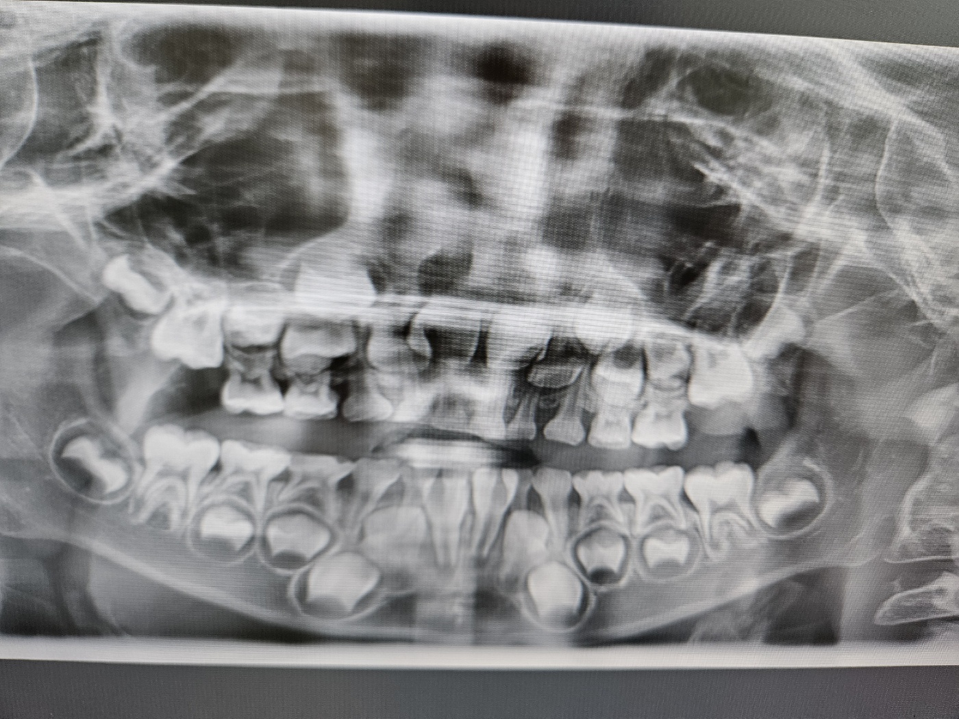
병원에 도착해서 대기 후 사진부터 찍었다.
환공포 주의 ㄷㄷㄷ
으악 ㅠㅠㅠㅠㅠ

사진보고 기겁. 닭살 올라오고 난리도 아님 ㅠㅠ
무튼;; 의쌤 왈. 교정해야하는 치아라며 ㅠㅠ
마음의 준비를 하고있었지만 직접들으니 맴찢.
일단 오늘은 검진 후 썪은 어금니와 전혀 흔들리지 않는 아랫니 뽑기!!


요즘은 요렇게 귀여은 통에 이빨도 담아주시네 ㅋㅋㅋ 졸귀탱 ㅠ
의사 쌤께서는 이렇게 뿌리가 녹지않은 유치는 처음본다며....
으엉 ㅠ 아까운이빨 ㅠ 예쁜 새이 돌려주렴.
옆에 아랫니도 엑스레이상 곧 올라올 것 같으니 2개 다 뽑아주셨다.
그리고 진짜 소름끼치게 이틀정도 지났나? 옆에 아랫니도 올라오고있음.
무튼 귀찮아서 미루 던 어금니치료도 잘 끝냈고, 아랫니도 무사히 아이의 ㅈㄹ발광없이
잘 마무리 지었다.
이젠 또 어떤 이야기가 펼쳐질지 ㅋㅋㅋ
아! 그리고 이건 상관없는 이야기인데.......
저번에 구강검진 갔던 곳은 시설은 구리지만 덤태기없고 잘봐주신다고 해서 갔었는데
생각보다 치료비용 너무 많이나와서 치료안하고 미뤘던건데...
이번 치과는 귀찮아서 제일 가까운 곳으로 예약하고 간건데... 들어가니 시설도 좋고, 비싸보여서 맘의 준비하고있었는데
생각보다 저렴해서 놀랐음. 오호 이제 치과는 요기로 다녀야겠다.
'살아오면서' 카테고리의 다른 글
| 2024년 중앙동 해오름축제 후기 (2) | 2024.10.15 |
|---|---|
| 투썸 로투스 아이스박스 파티팩 - 달달하니 맛있구만 (2) | 2024.10.07 |
| 달팽이 기르기 - 명주달팽이인듯 (0) | 2024.08.11 |
| 삼봉해수욕장 - 비수기 처럼 사람이 없다 (0) | 2024.07.29 |
| 내가 찾던 남한산성 계곡은 - 광지원매점 남한산성로66 (0) | 2024.07.18 |
댓글